• 診療科目

    診療の流れ

    当クリニックでは、患者さんお一人お一人で異なる疾患に対し、じっくり時間をかけて
    カウンセリングから精密な治療計画および診療を進めてまいります。まずはご相談ください。

    1.

    問診票にご記入いただきます

    問診票をご記入いただき、現在のお口の症状、全身疾患、服薬状況などをお伺いします。
    安全に治療を進めていく上での参考にさせていただきます。

    2.

    初診のカウンセリング

    治療に対するご希望やお悩み、ご心配ごとなどをお聞かせいただき、治療や予防についてご説明いたします。
    また、検査や診断より得られた原因や治療方針をお話させていただくために、必要に応じたカウンセリングを
    適宜行っております。歯科衛生士によるブラッシング指導や生活習慣指導なども行い、歯周病の基本治療・
    予防への取り組みに一層力を入れております。

    3.

    各種検査を行います

    症状の原因をさぐるためには、現在の状態をできる限り詳しく把握する必要があります。そのために
    当クリニックでは、一般の歯科診療よりも十分な検査を行い、時間をかけ詳細にチェックいたします。
    各々の患者さんの症状で必要な検査項目は異なります。


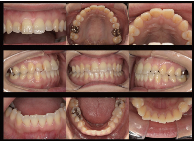
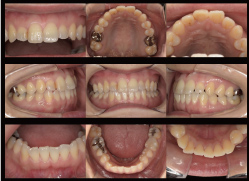
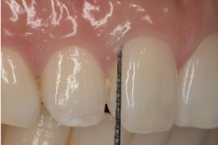
    口腔内写真

    すべての患者さんに初診や治療中のお口の中の
    写真を撮影します。最初の状態や問題点または歯
    ブラシによる歯肉の変化や治療の成果・経過を鏡
    で見えない裏側まで患者さんご自身に見ていた
    だくことができます。

    X線
    歯周病検査

    4.

    検査結果をもとに治療計画をご説明します

    検査で出たお口の中の状態をもとに、ゴールを決めて患者さんと
    一緒に治療計画を立てます。1本の歯を診るのではなくお口の中
    全体を考えた治療計画をご相談しながら決めてまいります。
    ご理解とご納得がいただけるまで、何度でもご説明させていた
    だきますので、ご不明な点はご遠慮なくおたずねください。

    5.

    歯周病治療を行います

    本格的に治療を開始する前に、専属の歯科衛生士によるブラッシ
    ング指導、生活習慣指導、歯周病の治療(歯石除去・歯ぐきのお手
    入れ)を行います。歯ぐきをより良い状態にすることにより、お口
    の環境が改善され治療の効果も高くなります。

    6.

    むし歯治療などの計画に沿った治療を行います

    歯周病の治療が終了し、歯ぐきの状態に問題がないか確認してから、
    あらかじめご説明させていただいた治療計画に沿って、本格的な治
    療を開始します。保険診療から自費診療まで、適した診療を選択して
    いただけるようご説明いたします。

    7.

    治療後のメインテナンスや予防をします

    お口の健康が回復したら、ご自宅でのホームケアと当院での定期的なメンテナンス(プロフェッショナル
    ケア)の両立で、再発防止と良い状態が維持できるようにしましょう。お口の中の管理をサポートいたします。

    はじめてご来院の方へ

    お電話にてご予約のうえ保険証と普段お使いの歯ブラシをご持参ください。

    問診票の記入をお願いしておりますので、ご予約時間の10分ほど前に来院いただくと
    スムーズに診察室へご案内できます。

    患者さんの症状やご要望をしっかり把握するために、はじめにカウンセリングや
    必要な検査をしてから治療に移ります。お時間に余裕をもってご予約ください。

    一般歯科

    きちんとした保険診療

    保険診療でも限られた時間や材料の中でベストを尽くします。
    必ず拡大視野で最少の侵襲で精度の高い修復処置や再び悪くならないよう最大限の治療を行います。
    また当院では、定期検診の受診をおすすめしています。

    口腔内写真により状態を確認
    マイクロスコープの使用
    唾液(細菌)の侵入を防ぐラバーダム防湿
    痛みの少ない電動麻酔注射器

    予防プログラム

    「治す」から「守る」時代です。

    担当の歯科衛生士が生活習慣や食生活も考慮し、あなたのお口の守り方を考えます。
    お一人ずつに合わせたケアグッズを選び、指導いたします。治療後に予防することで歯の寿命を延ばします。
    また当院では、定期検診の受診をおすすめしています。

    世界シェアNo.1 予防先進国スウェー
    デン製の歯ブラシや歯間ブラシお口に
    合うものを選びます

    担当の歯科衛生士によるお口のケア指導


    小児・マタニティ歯科

    歯の健康から子育て支援をしています。

    子供の頃からの歯磨き習慣・予防の習慣は大人になっても変わりません。妊娠中からママのお口の中も産まれてくる
    赤ちゃんのお口の健康も守ります。健やかなマタニティライフをサポートいたします。

    お子様連れで通えるキッズスペース完備

    妊娠中からお口の健康をサポートします

    仕上げ磨きが必要な年齢のお子様は、
    保護者の型にも仕上げ磨きのポイントや
    やり方などをお伝えします

    小児歯科

    お口まわりの筋力トレーニング~口腔筋機能療法(MFT)

    歯並びや噛み合わせの乱れは遺伝だけでなく、幼少期の生活習慣も影響します。 指しゃぶりをしたりいつも口呼吸をしたり、舌で歯に圧力をかけるクセがあったりすると 歯並びが乱れてしまうのです。これはお口まわりの筋肉のバランスがくずれることで引き 起こされます。その改善のために行うのが舌の筋力トレーニング「口腔筋機能療法(MFT)」です。

    「プレオルソ」こども歯ならび矯正法

    「子ども歯ならび矯正」のために開発されたマウスピース式装置を使用します。
    永久歯に生え変わってからでは、全ての歯にギラギラした装置をつけるいわゆる「本格矯正」に なりますが、この治療法であれば小児(6才~10才)の骨の軟らかい時期に使うことで、 非常に大きな効果が期待できます。装着時間は就寝時と家にいる時のみで十分です。 また、食事の時に装置をはずせるので、虫歯の心配がありません。

    NPO法人 「つなぐプロジェクト」に賛同し、ママと子供のお口の話
    講演などの活動を行なっています。

    http://tsunagu-project.org


    歯科口腔外科

    顎が痛い、親知らずなどのさまざまなお口のトラブルを解決します。

    「親知らず」や「抜歯」は誰にとっても不安な言葉です。
    抜歯に伴って「腫れる・痛い」といったリスクをできるだけ減らし、安心・安全な治療を心がけます。

    バイタルセンサーにより全身疾患などで
    歯科治療に不安がある方でも安心して
    治療が受けられます

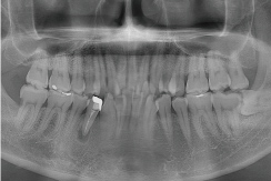
    歯科用CTによる3D画像診断

    必要に応じて地域拠点医療機関や大学
    病院との連携をとり診療を行います


    スポーツ歯科

    スポーツ選手の競技能力向上を助ける

    スポーツマウスピースはパフォーマンス能力の向上や脳震盪の予防などの様々な効果が解明されるようになり、
    着用義務化される競技が増え、今では沢山のアスリート達に愛用されるようになりました。
    より安全に、より長くスポーツを楽しめるよう当院ではスポーツ用マウスピースの装着を推奨しています。


    スポーツマウスピース 自由診療 6,000円〜

    マウスピース(マウスガード)の効果
    ①歯をケガから保護できる
    ②歯で唇や頬、舌を噛んでしまうことを予防する
    ③自分の歯で相手を傷つけることを防ぐ
    ④顎の骨や関節のケガを予防できる
    ⑤脳震盪など頭のケガを軽減できる
    ⑥ケガへの不安を和らげる

    [マウスピースの装着義務があるスポーツ]
    ・ラグビー・キックボクシング・ラクロス(女子)・アメリカンフットボール・空手・アイスホッケー
    ・ボクシング・インラインホッケー

    [マウスピースの装着が推奨されるスポーツ]
    ・ソフトボール・野球・スカイダイビング・レスリング・水球・ハンドボール・スカッシュ
    ・体操・武術・サッカー・相撲・バスケットボール・バレーボール・柔道・自転車・スケートボード
    ・砲丸投げ・スキー・テコンドー・サーフィン・重量挙げ

    その他自費診療

    さらに健康的で美しい歯を目指したい

    保険適用の詰め物や被せ物の取り扱い以外にも治療できる内容はたくさんありますので、
    「こんなことも治せるのかな?」と迷うことでもお気軽にご相談ください。

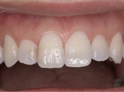
    白い歯(被せ物)

    熟練のセラミストによるセラミックを用いた自然に近い歯で長年の使用にもプラーク(汚れ)が付着しにくく、美しさを保ちます
    自由診療 100,000円〜

    小矯正(部分矯正)

    噛み合わせや、かぶせの前処置としてや、プラークコントロールのしやすい口腔内環境を整える目的で行う部分的な矯正治療です
    自由診療 50,000円~

    ホワイトニング

    ホワイトニング剤を塗布し、歯の中の着色物質を分解して歯を白くしていきます。ご自身の歯が白くなり、自然で、笑顔がもっと素敵になります
    自由診療 18,000円〜

    インプラント

    歯を失った場合、前後の歯を削るブリッジや義歯で補っていましたが、インプラントは顎の骨に人工の歯根を埋め込み、そこに人工の歯を装着します。これにより、天然歯とほぼ同等の咀嚼運動(噛砕き、飲込む運動)を回復することができます
    自由診療 350,000円〜
    (上部構成含む)